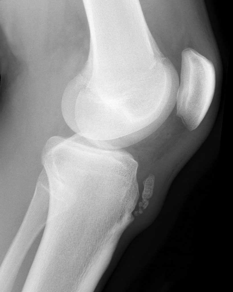
A doença de Osgood-Schlatter, embora tenha um nome complicado, é uma condição benigna que afeta adolescentes, sobretudo no surto de crescimento, tendo como principal sintoma a dor abaixo do joelho, após atividade física. O que é a doença de Osgood-Schlatter, como é feito seu diagnóstico e o tratamento? É sobre esses temas que falaremos hoje, confira!. Entre as lesões que ocorrem na prática de esportiva por crianças temos a patologia/síndrome de Osgood-Schlatter que foi primeiramente descrita em 1903 por Osgood, e surge durante a adolescência em forma de tumefação em torno do tubérculo tibial e do tendão patelar (LOVELL e WINTER, 1988). Ou seja, é uma condição comum que ocorre a.
Quick Facts on OsgoodSchlatter Disease Labs
DoençadeOsgoodSchlatter Ortopedista Oncológica
Morbo di OsgoodSchlatter Dr. Marcello Zavatta
Maladie d’OsgoodSchlatter Explications et Conduite à tenir
Osgood Schlatter’s Syndrome DR. RUSSELL SCHIERLING
Síndrome de OsgoodSchlatter Dr. Fernando Oliveira
Osgood Schlatters Disease Dynamic Physio
ENFERMEDAD OSGOOD SCHLATTER Dolor de rodillas en niños
OsgoodSchlatter Disease tenderness in the knees Greg Robinson Podiatrist
Osgood schlatter sintomi e trattamento FisioScience Medical
OSGOOD SCHLATTER na fase adulta YouTube
Osgood Schlatters Disease Knee
Doença de OsgoodSchlatter Clínica do Joelho
Doença de OsgoodSchlatter Clínica do Joelho
DOENÇA DE OSGOOD SCHLATTER Dr. Prof. Nelson Marques YouTube
Osgood Schlatter disease Image
Entenda a doença de OsgoodSchlatter o guia do fisioterapeuta
Osgood Schlatter Disease Causes, Symptoms, Prognosis & Treatment
Síndrome de OsgoodSchlatter O que é? Clínica Dr. Hong Jin Pai Dor, Fisiatria e Acupuntura
Dor e inchaço na frente do joelho das crianças o que pode ser? Dr. Fernando Cury Rezende
A doença de Osgood-Schlatter é uma inflamação dolorosa do osso e da cartilagem na parte superior da tíbia (osso da canela). Em geral, a doença de Osgood-Schlatter se desenvolve em crianças entre 10 e 15 anos de idade que praticam esportes. É causada por uso excessivo da perna.. A doença de Osgood Schlatter é uma osteocondrose, uma condição temporária que pode causar dor e inchaço nos joelhos, sendo um dos problemas musculoesqueléticos mais comuns em crianças, adolescentes e atletas em fase de crescimento. A doença se manifesta em grande parte em apenas um dos joelhos, entre os 10 e 15 anos de idade e na sua.


